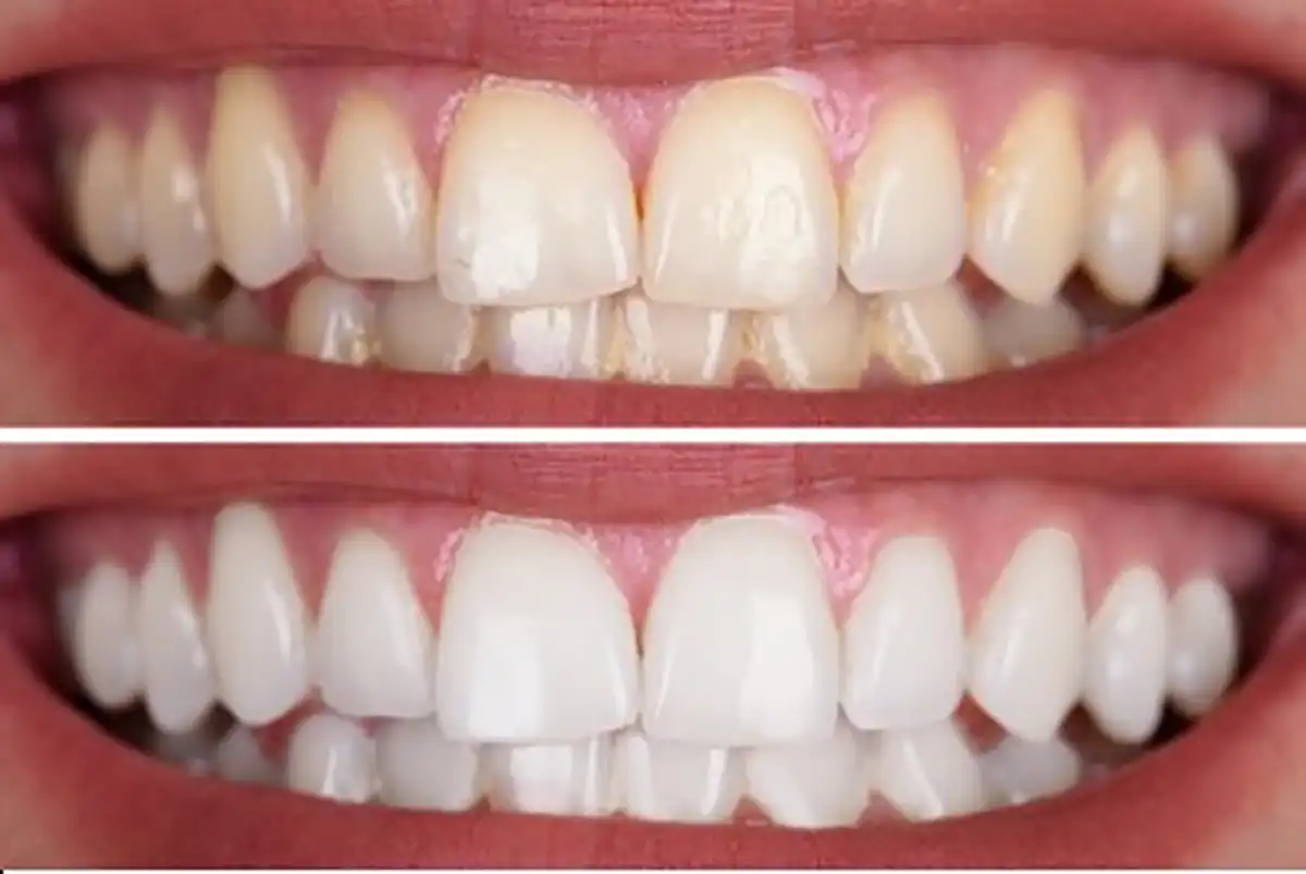
Whiter teeth for a bright, a white smile is something that many people desire, but achieving whiter teeth can be a challenge. There are countless over-the-counter products on the market that promise to whiten teeth, but they can be expensive, ineffective, and potentially harmful to teeth and gums. Fortunately, there are several dental options available that can safely and effectively whiten teeth.

1. In-Office Teeth Whitening

One of the most effective ways to whiten teeth is to have an in-office teeth whitening treatment performed by a dental professional. The procedure typically takes about an hour and can whiten teeth by several shades.

2. At-Home Teeth Whitening

Another option for whitening teeth is to use a custom-fitted tray and a professional-strength bleaching gel at home. Your dentist can create a custom-fitted tray that fits over your teeth and ensures that the gel is applied evenly. At-home teeth whitening typically takes several weeks to achieve the desired results.

3. Whitening Toothpaste

Whitening toothpaste is an over-the-counter option that can help to remove surface stains from teeth. However, it is important to note that whitening toothpaste can only remove surface stains and will not change the natural color of teeth.

4. Whitening Strips

Whitening strips are another over-the-counter option for whitening teeth. They are thin, flexible strips that are coated with a peroxide-based whitening gel. Whitening strips are placed on the teeth for a specified period each day, usually for several weeks.

5. Porcelain Veneers

In severe tooth discoloration scenarios, consider porcelain veneers as your best choice. These thin, custom-made shells snugly cover the front of your teeth, effectively rectifying a wide array of cosmetic issues like tooth discoloration and providing durable results.

Remember, not all teeth whitening options suit everyone. Allow your dentist to examine your individual requirements and suggest the optimal solution for you.

Maintaining your bright, newly whitened smile calls for a committed practice of excellent oral hygiene habits. Brush twice a day, floss daily, and schedule regular check-ups and cleanings with your dentist.

To wrap it up, you can achieve a more luminous, white smile with appropriate dental choices. In-office and at-home teeth whitening, whitening toothpaste, whitening strips, and porcelain veneers all form effective strategies to erase stains and discoloration from teeth. If teeth whitening interests you, consult your dentist to pinpoint the best course of action.

whiter teeth bright smiles whitening